Dr LÊ ĐÌNH VĨNH PHÚC, Dr NGUYỄN DUY THƯ, Dr NGUYỄN THIỆN HÙNG and Dr PHAN THANH HẢI, MEDIC MEDICAL CENTER, HCMC, VIETNAM
PURPOSES: To compare the stiffness of malignant liver tumors to benign liver tumors by a new technique of ultrasound, quantitative shear wave elastography (SWE). MATERIALS and METHOD: A descriptive, cross-sectional, prospective study was carried out on 69 liver tumors at MEDIC MEDICAL CENTER, HCMC, VIETNAM from April to December 2010. We had 2 groups of liver tumors which were noted with conventional ultrasound some morphological criteria (numbers, dimensions, margins, echogeneicity, homogeneity, halo sign, vascular invasion) and tumoral hemodynamics (vascularization, spectral pattern, velocity) and then, the stiffness by SWE. U test was used for statistical analysis. RESULTS: Group 1 (n=36 cases), average of age =42, average of dimension =28mm, single tumor (92%), hyperechoic, homogeneous (85%), well-limited (90%), negative halo sign (100%), no Doppler signal (95%), with the average of stiffness (elastic score) = 07.88kPa. Group 2 (n=33 cases), average of age 56, average of dimension=46mm, single tumor (82%), multiple tumor (18%), hypoechoic (60%), mixed echogeneicity (30%), hyperechoic (10%), positive halo sign (65%), vascular bending (30%), hypervascular (80%), with the average of stiffness (elastic score) = 84.34kPa. 2 groups of liver tumors are distinctively different in the u-test (α = 0.01). CONCLUSIONS: SWE of Supersonic Imagine provides quantitatively the stiffness, a new sonographic criteria for charactization of the malignancy of liver tumor and others. It makes a reliable difference in diagnosing the benign liver tumors and the malignant ones and may become a potential method to characterize liver tumors.
Fig.1A,B: Malignant tumor, Elastic Score=41.76kPa.
Fig.2 A : Multifocal HCC, ES=118.02kPa. B: CT scan : Multifocal HCC.
Fig.3 A,B: Hemangioma, Elastic Score=17.31kPa
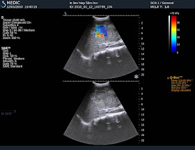
Fig.4 A,B: Benign tumor, ES=11.67kPa.
ĐO ĐỘ CỨNG CỦA U GAN BẰNG SIÊU ÂM ĐÀN HỒI ĐỊNH LƯỢNG SÓNG BIẾN DẠNG (SWE)
BS LÊ ĐÌNH VĨNH PHÚC, BS NGUYỄN DUY THƯ, BS NGUYỄN THIỆN HÙNG và BS PHAN THANH HẢI
TRUNG TÂM Y KHOA MEDIC HÒA HẢO-THÀNH PHỐ HỒ CHÍ MINH
TÓM TẮT:
- Đặt vấn đề:
Trong xu hướng ngày càng nhiều các phương tiện chẩn đoán hình ảnh ra đời nhằm tìm cách đo độ cứng của khối tổn thương u ở gan từ đó gợi ý đến tính chất lành hay ác của khối u, ngoài siêu âm Doppler và sinh thiết gan còn có kỹ thuật siêu âm đàn hồi sóng biến dạng (shear wave elastography, SWE). Nguyên lý của SWE là dựa trên tương tác của sóng dọc B – mode và sóng biến dạng vuông góc với chùm siêu âm đo được tốc độ lan truyền sóng biến dạng trong u, từ đó định lượng độ cứng của u. Người khám không cần ấn khám đầu dò mà sóng biến dạng phát hiện vị trí u gan và định lượng độ cứng của u chỉ trong 2 phút, rồi thể hiện trên bản đồ sóng biến dạng (elastogram), với mã hóa màu từ xanh dương (mềm=lành tính), lục, cam, vàng và đỏ (cứng=ác tính).
Siêu âm SWE đã được ứng dụng đo độ cứng của u gan tại Trung tâm Y khoa MEDIC Hòa Hảo từ tháng 4/ 2010.
Mục tiêu của chúng tôi là so sánh độ cứng của u gan đo bằng siêu âm SWE ở nhóm bệnh nhân u gan khả năng lành tính và nhóm bệnh nhân u gan khả năng ác tính qua các các đặc điểm mô tả trên siêu âm Doppler.
- Đối tượng và phương pháp:
Mẫu được chọn ngẫu nhiên, mô tả, cắt ngang 69 trường hợp chẩn đoán u gan trên siêu âm Doppler.
Dựa trên các đặc điểm hình thái của khối u (số lượng, kích thước, đường bờ, độ hồi âm, tính chất đồng nhất, dấu hiệu halo, dấu hiệu xô đẩy, xâm lấn mạch máu) và huyết động học của khối u (phân bố mạch máu trong u, phổ mạch máu, vận tốc mạch máu), chia thành 2 nhóm:
+ Nhóm 1: u gan có khả năng lành tính;
+ Nhóm 2: u gan có khả năng ác tính.
SWE được thực hiện trên máy Aixplorer của hãng Supersonic Imagine với cả 2 nhóm trên.
Thu thập và xử lý số liệu, so sánh hai số trung bình bằng phép kiểm u.
- Kết quả:
+ Nhóm 1: 36 ca, tuổi trung bình 42 tuổi, kích thước u gan trung bình 28mm, một u (92%), cấu trúc u phản âm dày, đồng nhất (85%), bờ ngoài giới hạn rõ (90%), dấu hiệu halo âm tính (100%), không thấy tín hiệu Doppler (95%).
Độ cứng trung bình của u gan nhóm 1 là 07,88 KPa.
+ Nhóm 2: 33 ca, tuổi trung bình 56 tuổi, kích thước u gan trung bình 46mm, một ổ (82%), đa ổ (18%), phản âm kém (60%), phản âm hỗn hợp (30%), phản âm dày (10%), dấu halo dương tính (65%), dấu hiệu xô đẩy mạch máu (30%), tăng sinh mạch máu nhiều (80%).
Độ cứng trung bình của u gan nhóm 2 là 84,34 KPa.
*Sự khác biệt về độ cứng của khối u gan ở nhóm 1 và nhóm 2 có ý nghĩa thống kê rất rõ (α = 0,01).
- Kết luận:
Kỹ thuật siêu âm đàn hồi sóng biến dạng (SWE) đã cung cấp thêm một yếu tố nữa để đánh giá khối u gan, đó là độ cứng, góp phần vào việc chẩn đoán toàn diện hơn khối u gan, từ đó định hướng khả năng tính chất lành tính hay ác tính của khối u đầy đủ hơn.
Ưu điểm nổi bật của SWE là, ngoài tính nhanh chóng, dễ thực hiện, chính xác, không xâm lấn, còn có thể lập lại và không lệ thuộc người khám.







Không có nhận xét nào:
Đăng nhận xét